
胶质瘤是最为常见的原发性颅内肿瘤。其具体发病原因尚不完全明晰,目前认为可能和以下因素相关:
遗传因素:部分遗传综合征或基因异常会提升患胶质瘤的风险,像神经纤维瘤病等遗传疾病患者,发生胶质瘤的概率相对更高;
电离辐射:长期且大剂量接触放射线,例如头部曾接受过放疗等,有可能诱发胶质瘤;
化学因素:长期接触特定化学物质,如氯乙烯等,可能和胶质瘤的发生存在一定关联;
病毒感染:尽管确切机制不明,但某些病毒感染或许会在胶质瘤的发生发展中起到一定作用;
不良生活方式:如长期吸烟、过度饮酒等可能对发病有一定影响,但并非直接的因果关系;
胚胎发育异常:在胚胎发育过程中有某些异常,可能致使神经胶质细胞异常增生,进而演变为胶质瘤。需要强调的是,通常是多种因素相互作用才导致胶质瘤的发生,而非单一因素。比如具有遗传易感性的个体,在接触一定剂量的电离辐射后,可能更易发生胶质瘤。对胶质瘤病因的深入探究仍在持续进行,以期望能更好地理解其发病机制并找到更有效的预防与治疗措施。
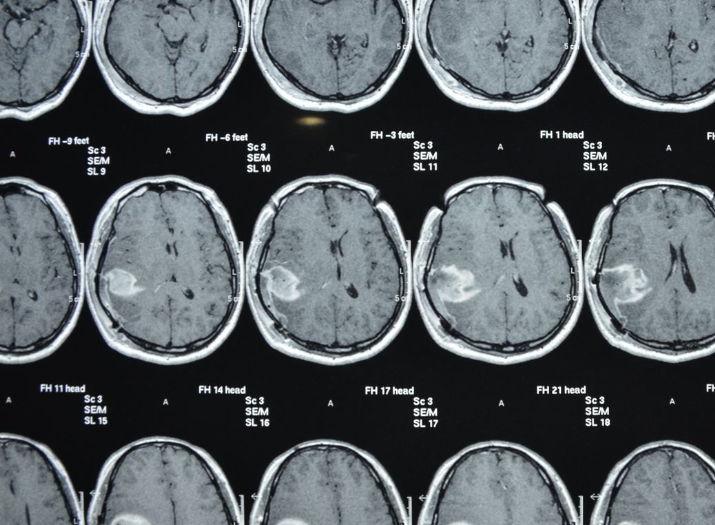
关于胶质瘤,有如下特点:
起源:主要源于神经胶质细胞,涵盖星形胶质细胞、少突胶质细胞、室管膜细胞等;
分类多样:存在不同的类型与级别,例如星形细胞瘤、少突胶质细胞瘤等,级别由低到高反映了肿瘤的恶性程度;
症状表现:可引发头痛、呕吐、癫痫发作、肢体无力、感觉障碍、视力下降、语言障碍等症状,具体取决于肿瘤所处的位置和大小;
诊断:一般需要结合临床症状、影像学检查(如头颅磁共振成像、计算机断层扫描等)以及病理检查来明确诊断;
治疗:包含手术切除、放疗、化疗等综合治疗手段,但总体预后差异较大,低级别胶质瘤预后相对较好,高级别胶质瘤通常预后较差。
对于胶质瘤患者,在饮食上需注意以下方面:
增加营养:保证充足的蛋白质摄入,如瘦肉、鱼类、蛋类、豆类及豆制品等,有助于维持身体正常功能和修复。多食用富含维生素的食物,尤其是富含维生素 C(如新鲜蔬菜和水果)、维生素 E(如坚果、植物油)等,可增强免疫力;
适当摄入碳水化合物:选择富含膳食纤维的碳水化合物来源,如全麦面包、糙米等;
注意饮食均衡:各种营养素要合理搭配,避免过度偏食或挑食;
适量摄入脂肪:以不饱和脂肪酸为主,如橄榄油、鱼油等;
避免刺激性食物:尽量减少辛辣食物,如辣椒、花椒等的食用,以防刺激胃肠道;
减少油腻食物摄入:如油炸食品等,防止消化不良;
控制盐分摄入:避免高盐饮食,以免引起水肿等问题;
戒烟限酒:吸烟和过量饮酒对身体有害,不利于康复。
本回答由学识网回答